笔帽堵塞气管20多年 左肺不见了
小雷今年32岁,平常身体很好,从没做过体检。因为感冒后久咳不愈找医生看门诊。医生建议小雷拍个胸片,结果让他大吃一惊。
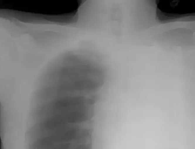
常人的胸片都有左右对称的两个肺,但小雷的片子只能看到右侧的一个肺,左肺的位置上一片空白。左肺怎么不见了呢?
看到这个片子,小雷也吓了一跳。过去30多年中,他没有感到任何不适,难道他是天生的“单肺人”?
为了查明情况,医生给小雷做了一个支气管镜检查,发现小雷左侧的支气管已经完全萎缩,在入口处有一个圆形肉球,这个肉球到底是什么东西?陈医生切开肉球,底部有一点明显不属于人体组织的异物,这又是什么东西?
“你是不是吃东西的时候不小心把一些食物呛到气管里了?”医生询问,但被小雷坚决否决了。
为了查明原因,医生决定采取呼吸科的介入手术。
“常规的气管内取异物,都只需要局部麻醉的软镜就可以了。但是小雷的情况比较特殊,左肺已经萎缩,没有通道,必须借助硬镜帮他在气管内重建一个通道,才能将异物取出来。”医生说。
术中,医生从小雷萎缩的左肺取出一个子弹状的异物。术后,看到器械盘里的这个子弹状异物,小雷猛地想起这到底是怎么回事了:原来,20多年前他念小学一年级时,一边写作业一边咬笔头,一不小心就把笔帽吃下去了。当时,小雷妈妈也带小雷去医院看了,不过没有发现异样,就没有在意。怎么也想不到,20多年后小小笔帽将自己的左肺“顶”没了。
小小笔帽如何废掉一个肺?
一个3厘米不到的笔帽,为什么会让小雷失去了左肺?医生说明了原委。
原来,我们的肺就像一个气球,支气管就是给这个气球打气的通道,如果每天没有气体进来,我们的肺就会像没气的气球一样慢慢瘪掉。大约只需要7天左右,一个肺就可以瘪成扁扁的一层。
被小雷吃进去的笔帽,位置掉得很巧,刚好在左肺气道的入口。人的呼吸系统分成左右两支,分叉口就在喉部下方,笔帽堵住了小雷左肺气道的门,虽然还有少量气体进来,但人体自身的防御体系,会把不属于自身的异物逐渐包裹起来,形成一个肉球,最终将气道入口完全堵死,导致外部气体无法进入左肺,左肺就逐渐瘪掉了。
其实这样的异常情况并不难发现,如果每年做体检,只要一个简单的胸片,就会发现左肺瘪了。遗憾的是,小雷及家人都没有定期体检的意识。
医生表示,经常接诊一些患者因为肿瘤导致肺部瘪掉,不过大多患病时间只有1至2年,通过支气管镜及时将气道疏通后,肺又会重新鼓起来。肺瘪掉时间最长的患者有5年了,在疏通气道后,肺也重新鼓起来了。
但是小雷耽误的时间太长了,足足有20多年,左肺已经完全萎缩,而且导致肺部外围胸骨也跟着塌陷,目前为止,还没有文献报道说这样的肺能够重新鼓起来。
这么大一个肺萎缩了,为什么小雷毫无感觉呢?医生说,人体自身有一个代偿功能,因为小雷的左肺不是马上就萎缩的,所以右肺逐渐承担了左肺的工作,小雷也就没有感到左肺正在消失。
其实,当看到取出的笔帽后,小雷回忆过去的20多年,还是找到了一些征兆,比如在爬山的时候,常常有力不从心的感觉,参加一些剧烈的体育运动,体力明显不如别人,只是当时都没有在意。如果不是这次感冒咳嗽,估计小雷至今还不知道左肺已经悄无声息地不见了。
提醒:呛入肺部的异物要及时处理
医生提醒:如果气管呛咳进异物或者不慎吞入异物,不管是软的还是硬的,都要及时咳出来,咳不出的请及时找医生处理。
“异物一旦进入人体组织,时间一长,就会形成肉芽包裹异物,取出来的难度就会加大。”医生说,邵逸夫医院呼吸科每年都会接诊100多例呛入异物的患者,以老年人和小孩居多。呛入的异物五花八门,近年取过的异物,最大的是一个2.5公分的仔排骨头;小孩子比较多见的是黄豆、纽扣、笔帽、硬币、螺帽等,老人多见的是骨头、假牙。
记者了解,浙江省人民医院曾经对近6年287例因气管异物住院的孩子进行统计分析,其中主要是有机物(基本指可吃的东西)229例,占79.8%。有机物中,花生米以112例高居首位,占48.9%;排在第二的是瓜子(67例);第三是豆类,43例。无机物中主要是塑料制品,塑料玩具、笔帽等,一共49例,主要发生在年龄较大的儿童身上;还有9个孩子卡在气管里的异物稀奇古怪,比如钉子、弹簧、鱼钩等。
从年龄讲,年纪越小的孩子越容易被异物堵住气管,287个调查样本中,3岁以下占87.1%,因为这个年纪的孩子总喜欢嘴里含着东西蹦蹦跳跳,不小心摔一跤,东西就吸进了气管。男孩因为更好动,吸入异物的比例明显超过女孩,占68.9%。
来源/钱江晚报

